SIGNOS CLAVE EN PATOLOGIA TRACCIONAL VÍTREORRETINIANA
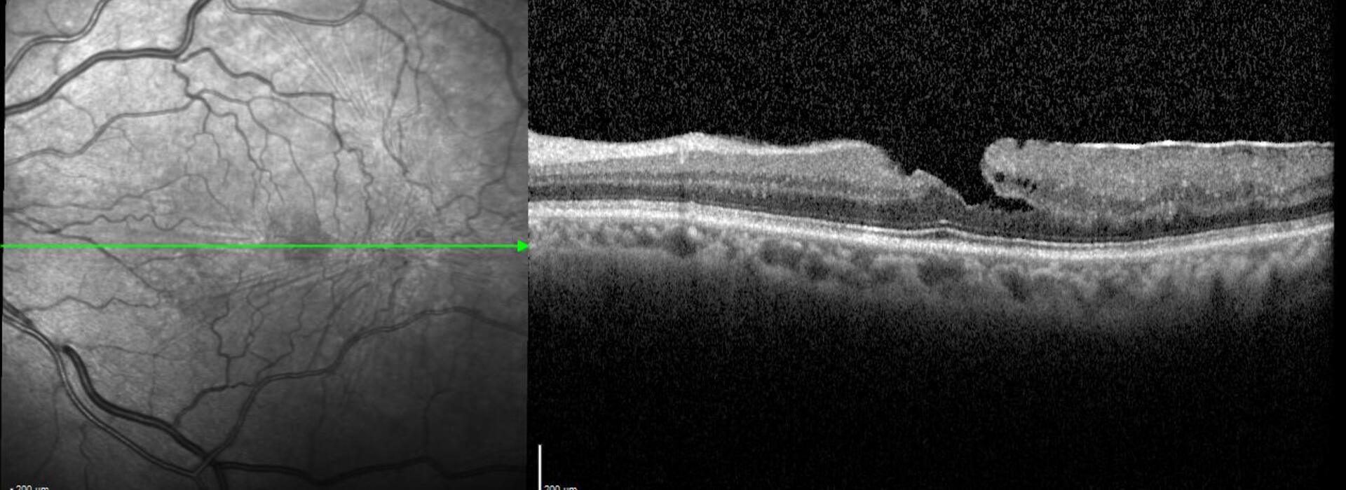
El Dr Juan Manuel Cubero realiza un repaso de los signos clave en patología traccional retiniana tanto en la planificación preoperatoria como en los hallazgos postoperatorios de los mismos, basándose principalmente en la membrana epimacular, el agujero macula lamelar y completo y en tracción macular propiamente dicha.
NOTA: RECUERDA QUE ESTAS COMPRANDO SOLAMENTE UN CURSO DEL BLOQUE.
Acceso al curso 90 días desde la compra.
Datos del curso
Duración
Acceso al video durante 3 meses
Objetivos
Signos clave en patología traccional vítrorretiniana
Requisitos
Acceso a internet
¿Alguna duda?
Formulario de contacto
Hemos recibido correctamente tu solicitud.
Te responderemos a la mayor brevedad posible. Muchas Gracias.