TIPOS DE DRUSAS Y SUS IMPLICACIONES PARTICULARES
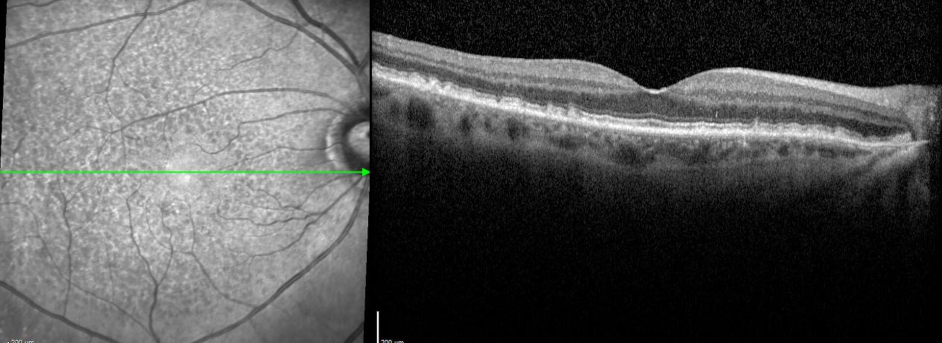
El Dr Javier Montero muestra las características básicas para diferenciar los diferentes tipos de drusas asociadas a DMAE, así como las implicaciones pronósticas de cada tipo particular
NOTA: RECUERDA QUE ESTAS COMPRANDO SOLAMENTE UN CURSO DEL BLOQUE.
Acceso al curso 90 días desde la compra.
Datos del curso
Duración
Acceso al video durante 3 meses
Objetivos
Tipos de drusas y sus implicaciones particulares
Requisitos
Acceso a internet
¿Alguna duda?
Formulario de contacto
Hemos recibido correctamente tu solicitud.
Te responderemos a la mayor brevedad posible. Muchas Gracias.